


|
|
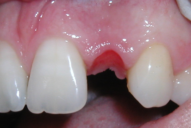
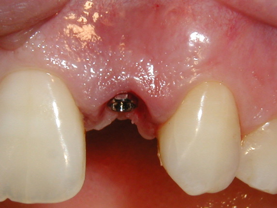
| Missing tooth | Implant placed |
![]() |
![]() |
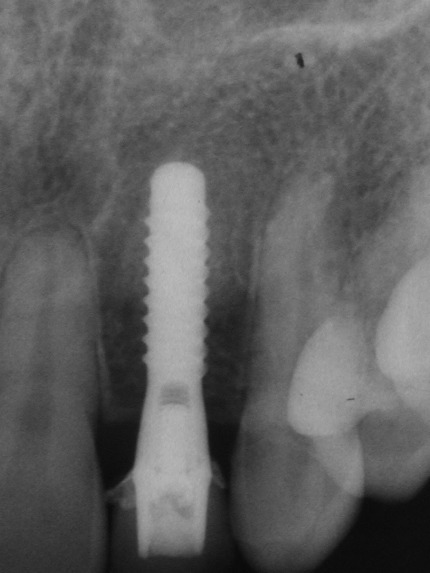
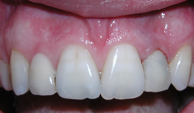
| Temporary Crown | X-ray |
This procedure allows the placement of an implant with a temporary crown on the same day with no need for sutures. There is so little discomfort that most patients go back to work and use only mild "over the counte" type medications.