Fetner and Hartigan
Michael J. Fetner, D.M.D., M.S.
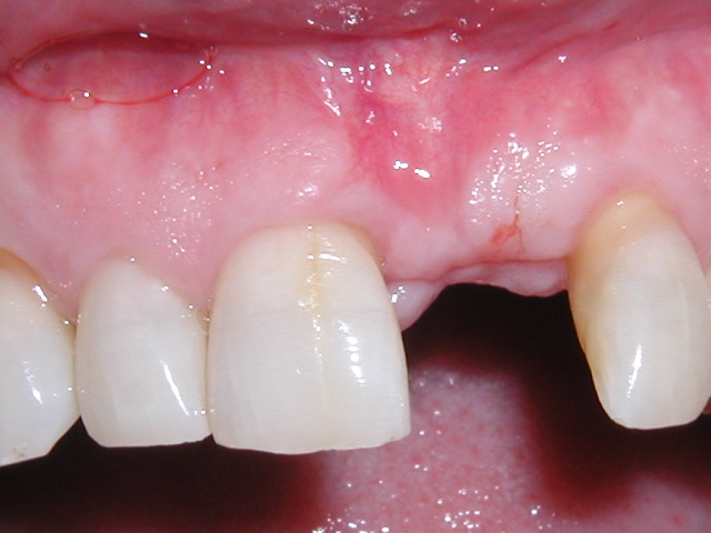
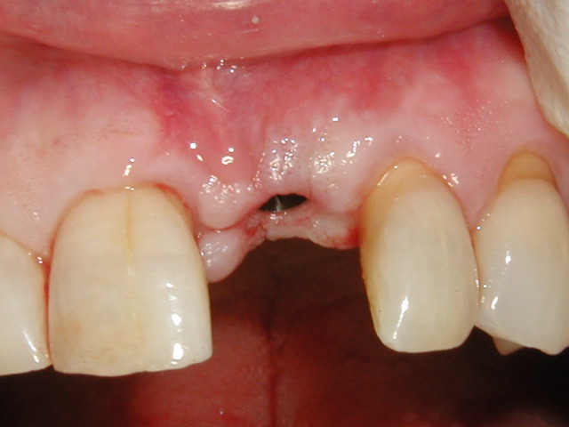
Missing Tooth Implant placed (no incision needed)
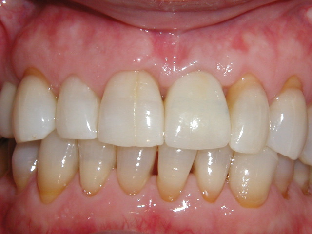
This is how the patient leaves wearing a temporary crown Final Crown placed 3 months later

Click here to see another case