Fetner and Hartigan
Non-surgical therapy        return to scaling and root planning

 

.

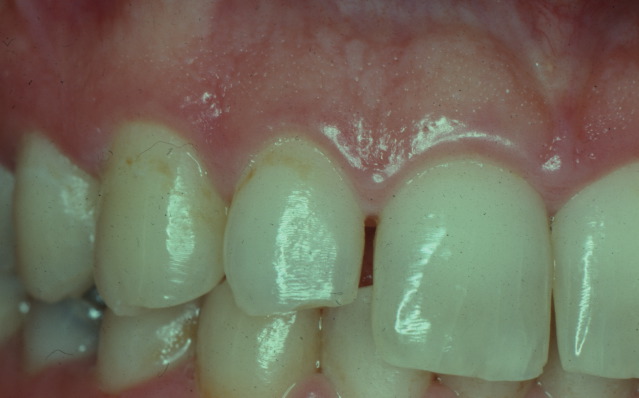
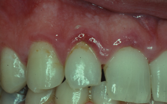
            Tissue prior to therapy                                Health achieved with periodontal therapy