

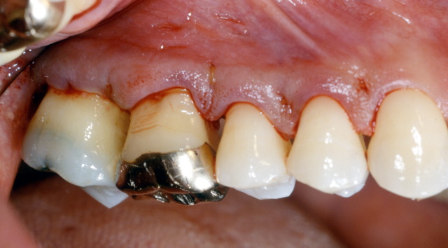
Before surgery

Repair of the bone damage is made by hiding the correction toward the tongue side.

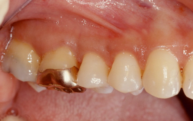
Completed procedure. Notice the height of the gum tissue in the areas
typically visable when a patient talks or smiles. In most case, the molars
(back two teeth) do not show.
