

Crown Lengthening procedures are done for both restorative dentistry and/or to improve the esthetics of your gum line.
General practitioners often refer for crown lengthening procedures prior to restoration of broken or severely decayed teeth. This procedure adjusts the gum and bone level to expose more of the tooth so it can be restored.
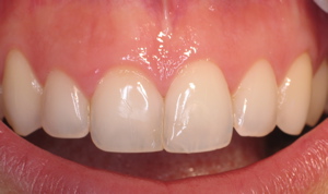
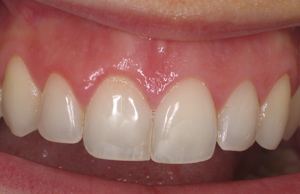
Sometimes crown lengthening is done to improve a "gummy" smile because the teeth appear short. The teeth may actually be the proper length but excess gum tissue may be covering these teeth. During this procedure, excess gum and bone tissue is reshaped to expose more of the natural tooth. Below is a case that involved a subtle change on just two teeth. See if you can spot the difference.

Before

After
Privacy Policy
| Copyright © 2008 Drs Fetner andHartigan | Developed by DentalPC |