

As a result of advanced periodontal disease, bone loss may occur. This bone loss can be reversed by using a procedure called bone grafting. A bone graft is a surgical procedure that replaces missing bone with material from the patient's own body or an artificial, synthetic, or natural substitute. The graft not only replaces missing bone, but also helps your body to regenerate its own bone. This new bone growth strengthens the grafted area by forming a bridge between your existing bone and the graft material. Over time your own newly formed bone will replace much of the grafted material.
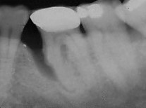
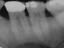
This is an example of an bone defect. The area was repaired and the xray on the bottom is a 23 year followup of a case we treated.
Before (1990) 
After (2013) 
Privacy Policy
| Copyright © 2013 Fetner andHartigan | Developed by DentalPC |