Fetner and Hartigan
Michael J. Fetner, D.M.D., M.S.

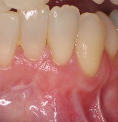
This is a before of a recession site.  A connective tissue graft was used.

 

 

 

                    

Back

This is a the result at 2 months.

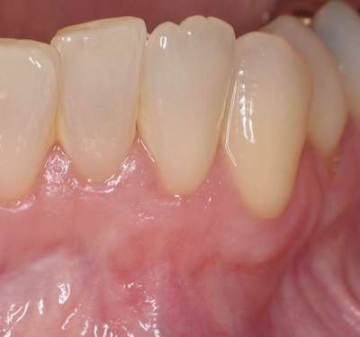
This is a 2 year followup.  This method allows the most esthetic and stable outcomes.