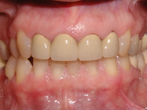
Before

    

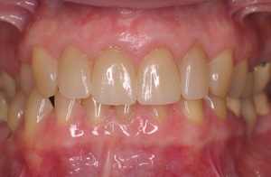
After

     

                                                 Back to Services

This is a before and after of an esthetic surgical procedure.  This procedure has become one of the most popular and effective methods to change a smile.